
From Debilitating Nerve Pain to Running Half Marathons:
This Busy Mother of Three Shares Her Story

Van Kort’s herniated disc causing debilitating pain.
Patient: Elizabeth Van Kort, age 35
Diagnosis: Disc herniation
Physician Care Team: Tyler Jenkins, MD
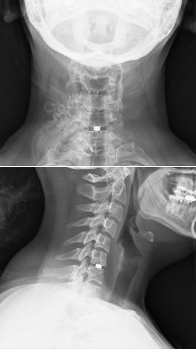
Treatment: Cervical Disc Replacement (arthroplasty)
Location: The Surgical Center at Columbia Orthopadec Group
Everything was falling into place for Elizabeth Van Kort. She just landed her dream job as part of the paid media team for Ramsey Solutions. (Yes, the Dave Ramsey!). The position would move her family, including her three boys (ages one, four, and eight), to Nashville, TN.
Shifting Your Mindset, Changing Your Life...
“It’s amazing what you can do when you put your mind to it,” said Van Kort. She had a spark of inspiration after reading Born to Run by best selling author, Christopher McDougall. She transformed her mindset and went from saying, “My body isn’t made to run” to “All humans are made to run.”
“I almost failed PE in high school because I couldn’t run a 10-minute mile, so this was a huge shift for me.
The book changed her outlook on running. She finished her second half marathon in September 2021.
“I was as slow as molasses,” she said. “But I came, I ran, and I finished!”
Shortly after finishing her second half marathon, Van Kort started to experience debilitating nerve pain down her left arm, leading to sleepless nights.
“I’m a tough cookie, but the most painful time for me was when I was lying down,” said Van Kort. “It would bring me to tears.”
She was 35 years old, and surgery was the furthest solution from her mind. Taking a proactive approach to her healthcare, she went to see a chiropractor who also recommended Transcutaneous electrical nerve stimulation (TENS) therapy. She took pain medications and tried topical CBD products, yet despite her many attempts, nothing remedied the pain.
Extreme Neck Pain with No End in Sight...

Surgical Success Story: Three weeks post-op and back to work.
Things escalated when she began dropping things with her left hand. She would lose her grip due to the worsening symptoms and increasing pain. She consulted with an orthopaedic surgeon and had two additional references for a spine surgeon in Columbia, MO. All roads lead to Dr. Tyler Jenkins at the Columbia Orthopaedic Group.
She came out of her MRI with tears streaming down her face because the pain of laying down for the test was so intense. She knew her pain was warranted when she saw the look on the staff’s face when viewing her results.
Van Kort had a herniated disk between C6 and C7. With the severity of the pain and weakness, Dr. Jenkins quickly worked her into his surgery schedule. Weeks prior to relocating to a new city, she was relieved after meeting Dr. Jenkins. She knew she had a trusted surgeon on her side and didn’t have to search blindly in a new city for someone she could trust to do her spine surgery.
Van Kort was scheduled for surgery on October 25, 2021. To add to the stress of surgery, her family's move to Nashville was scheduled for the following week! She wasn’t sure what her life would be like after surgery or if she would be prepared for a cross-country move. Dr. Jenkins provided a sigh of relief in mentioning her success rate would likely be 85-98% to full recovery. She felt comfortable with Dr. Jenkins, who prayed with her before surgery.
“That meant so much to me,” Van Kort said. “I was incredibly thankful for getting in as quickly as I did.”
“I felt instant relief from my nerve pain coming out of surgery. I knew immediately I had made the right decision. Recovery wasn’t easy. I knew the danger of pain medications and didn’t want to rely on them. I felt terrible about calling and asking for additional medication, so it was a big relief that Dr. Jenkins’s nurse called to check in with me. They reassured me and extended my medication. I felt totally supported—even now in Tennessee and no longer in Columbia.”
“The move was challenging, and I’m so very grateful for my husband, friends, and family that helped us through the transition. We couldn’t have felt more supported than to show up to our new house and be met by my new Ramsey Solutions work family to help us unload the moving truck.”
“It was very emotional showing up to our house that we had only seen by video with people that we’ve never met before, and walking through the front door to know this was the right move in so many ways.”
Post-Surgery: A Half Marathon Race is on the Horizon...
Getting back to running again made her a little nervous.
“I have hardware in my neck, but I’m also fired up to be working with a group of super-passionate people every day. The impossible was made possible with the support of so many wonderful people.”
Van Kort is now training for her next half marathon, and thanks to “the voice of reason” and the advice of Dr. Jenkins, she rescheduled a trip to Mexico.
“Never give up.”
– Van Kort always kept a positive outlook
“Elizabeth presented with a problem called myeloradiculopathy from a cervical disc herniation,” said Dr. Jenkins. “This is where a disc herniation in the neck can put pressure on the spinal nerve (causing pain) and spinal cord (causing neurologic dysfunction). The unique thing about Elizabeth is how young and healthy she was at the time of presentation. She did not have a lot of arthritis or bone spurs. Therefore doing the typical spinal fusion was not a great option for her. Following FDA trial indications for cervical disc replacement, Elizabeth was a perfect candidate for a cervical disc replacement. This allowed me to solve her spinal cord and nerve root compression without fusion of her spine and preserving motion.”

“Her story is how new technology used with appropriate indications can produce a great clinical outcome,” said Dr. Jenkins.
Get to know Tyler Jenkins, MD.
Learn more about our Spine treatment options.
For more information about Andrew James and COG's Bone Health Center.
